(口腔医院),简称“北大口腔”,始建于1941年。前身是国立北京大学医学院附属医院的齿科诊疗室。新中国成立后,在系主任毛燮均教授的大力呼吁下,传统的牙医学教育革新为现代的口腔医学教育,并于1950年率先获得卫生部、教育部的批准,北京大学医学院牙医学系也随即更名为口腔医学系,之后其他院校相继… 详细>>
党委院长办公室
医务处
护理部
教育处
科研处
人事处
财务处
运营管理办公室
审计室
保健办
信息中心
后勤处
医学装备处
保卫处
纪委办公室/监察…
工会
离退处
医院感染管理与疾…
邮编:100081
总机:010-62179977
预约咨询:010-62179665/ 82195390
投诉电话:010-82195343
医保物价办电话:010-82195512
. 详细>>
地铁:魏公村站(地铁四号线)
公交:魏公村站(26路 209路 320路 332路 563路 608路 653路 689路 695路 697路 717路 特4路 特6路 运通105路 运通106路 运通205路)
牙体牙髓科
牙周科
儿童口腔科
口腔颌面外科
口腔修复科
口腔正畸科
口腔预防保健科
口腔黏膜科
口腔种植科
综合治疗科
综合治疗二科
特诊科
口腔急诊科
麻醉科
颞下颌关节病及口面痛治疗中心
口腔病理科
医学影像科
检验科
药剂科
义齿加工中心
病案管理科
临床营养科
第一门诊部
第二门诊部
第三门诊部
第四门诊部
第五门诊部
第六门诊部(国际门诊)
第七门诊部
三亚迎宾门诊部
尊敬的项目组参与单位及全国牙周病学同道:第四次全国口… 详细>>
8389次
10033次
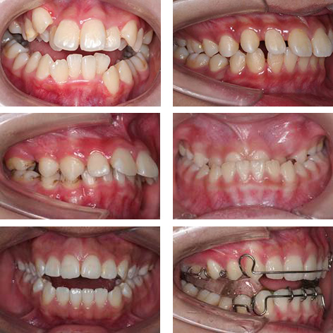
包括乳牙期及替牙期早期治疗,口腔不良习惯的纠正,以及牙齿排列不齐、牙列拥挤或间隙、埋伏牙牵引、“地包天”或“龅牙”、上颌前突、下颌后缩、双颌前突、前牙开合及轻中度骨性错合畸形的系统治疗。
上一篇: 成人正畸治疗